Porcelain Veneers


 

 
 

 

Porcelain veneers, alternatively termed dental veneers or dental "porcelain laminates" , are wafer-thin shells of porcelain that are bonded onto the front side of teeth so to create a cosmetic improvement for a tooth.

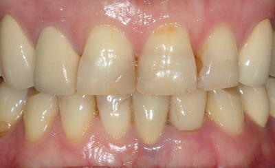
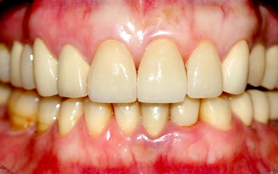
Porcelain veneers are routinely used by dentists as a way to make cosmetic changes for teeth that are discolored, worn, chipped, or misaligned.

Porcelain veneer technique utilizes the bonding capability of these materials to securely attach a thin shell of porcelain (the porcelain veneer) to a tooth. Although porcelain is inherently brittle, when it is firmly bonded to a sturdy substructure (a tooth) it becomes very strong and durable.

Two of the greatest advantages of porcelain veneers over other types of cosmetic dental bonding are:

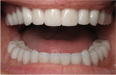
  • Porcelain veneers create a very life-like tooth appearance.

  • Porcelain veneers resist staining.

 

  • Procedure for PV:

 

  • Check up with the specialist for the consultation.
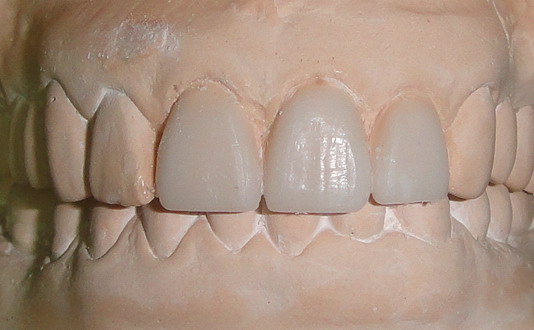
  • Study & Simulation Model made for the evaluation.
  • Photo and X-ray records for the comparison.
   
  • Teeth preparation.
  • Try in & modified the veneers for expecting result match.
  • Final veneers bonding.
     

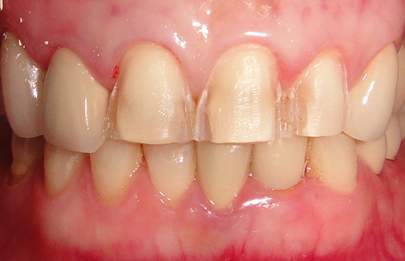
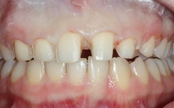
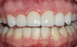
  • Braces+Porcelain Veneers for adult teeth crooked:
 
 
    For more conservative consideration, we strong recommend orthodontic procedures to be the first step for adult crooked teeth, instead of more preparation procedures to straighten teeth.           After braces, even the mid-line of dentition is shifting, but more teeth are in the right position, therefore, we only consider the aesthetic solution for upper front teeth.  
 
     
    Only 6 upper front teeth are prepared for porcelain veneers in order to keep majority of real tooth.           6 upper front veneers change the shape of dentition, correct the mid-line and improve the smiling.